| Sign In | Join Free | My benadorassociates.com |
|
| Categories | Cytology Stains |
|---|---|
| Brand Name: | Baso |
| Certification: | IVDR Class A; ISO 13485:2016 |
| Applicable Departments: | Hospital,Clinic,Research Institution |
| Place of Origin: | China |
| MOQ: | 1 Box |
| Price: | Negotiated |
| Payment Terms: | T/T |
| Packaging Details: | Paper box |
| Delivery Time: | To be confirmed |
| Supply Ability: | To be confirmed |
| Company Info. |
| Baso Group |
| Verified Supplier |
| View Contact Details |
| Product List |
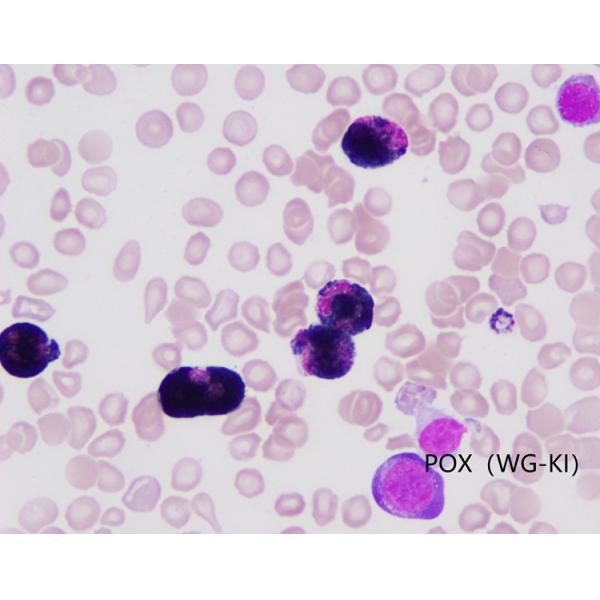
Leukocyte Peroxidase Stain (POX) (Oxidation WG-KI method) Baso Clear Colourful Stains
Testing Principle
Peroxidase in the cells decomposes peroxides to generate nascent oxygen. This nascent oxygen then reacts with KI (potassium iodide) to produce iodine. The iodine subsequently combines with the active components of color-developing agents such as WG, forming colored particles that are localized in the cytoplasm.
Stain Results
In positive reaction, red-brown to dark blue granules shall be found in cytoplasm. Red-brown granules are with weakly positive reaction. Dark purple to dark blue granules spread over cytoplasm and even fully cover nuclei in strong positive reaction. Blue cytoplasm means negative, and no positive granules are found, while the nuclei shall be evenly stained as red-purple. Eosinophils can be quickly stained in vivid color, and its positive reaction is dark blue. Some cellular granules shall spread diffusely to the outside of cell. Acicula shall appear in the outer layer of cells.

Packaging Specification
Product Name | Ref # | Specification |
Leukocyte Peroxidase Stain (POX) (Oxidation WG-KI method) | BA4110A | 5 Tests/Kit |
Leukocyte Peroxidase Stain (POX) (Oxidation WG-KI method) | BA4110 | 20 Tests/Kit |
Leukocyte Peroxidase Stain (POX) (Oxidation WG-KI method) | BA4110B | 100 Tests/Kit |
|